最終更新日 99.1.20

乾癬についての基礎知識






















制作・著作
日生病院皮膚科:東山真里医師
大阪大学皮膚科:三浦宏之医師

 乾癬感染しません
乾癬は皮膚の慢性炎症性角化疾患で伝染性はありません

 

乾癬の概略

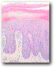
皮膚を顕微鏡で詳しく見ると

皮膚の基本構造は外側から順番に表皮、真皮、皮下脂肪織からできていて、さらに表皮は顕微鏡で詳しく見ると角層、顆粒層、有棘(ゆうきょく)層、基底層など4-5層に分けることが出来ます。

 

 

乾癬は炎症性角化症のひとつです。

乾癬の皮膚を顕微鏡で見たときの特徴は大まかに2つあり、

1.表皮の角層と有棘層が厚くなる (表皮の肥厚と角化)

2.表皮と真皮に炎症をおこす細胞が集まってくる(炎症細胞浸潤)

このように1.角化2.炎症の両方が見られることから乾癬は皮膚科の教科書では炎症性角化症という項目に分類されています。

 

乾癬の症状

 乾癬にはいくつかの病型がありますが、ここでは最もポピュラーな尋常性乾癬について述べます。これ以外についてはまたの機会にします。

 乾癬では境界がはっきりして、少し盛り上がった赤い皮疹が出来ますがこれを紅色局面といいます。

 この紅色局面は頭や膝、肘などこすれやすい部分にできやすくこれらの部位を好発部位といいますが、皮疹が出ていない部分でも傷つけたり、掻いたり、こすったりするとその部分に乾癬の皮疹ができ、これはケブネル現象と呼ばれ乾癬を悪化させる原因になります。

 この表面には白くてかさかさに乾燥した厚い垢(鱗屑--りんせつと言います。)が付着します。この鱗屑を無理にめくると点状の出血が見られます。これをアウスピッツ現象と呼び乾癬に特徴的な症状です。

 病気の勢いが強くなると好発部位以外の全身に赤い斑点がたくさん出てきて、やがてこれらが合体し地図状になります。

 かゆみは個人差がありますが、皮疹が悪くなるときにかゆみも強くなる傾向があります。

そして、ここで掻いてしまうとケブネル現象をおこしてさらに乾癬の皮疹は拡がってしまいますので注意が必要です。

皮膚以外の症状

 尋常性乾癬では皮疹が主で内蔵を障害することはほとんどありません。

時々、関節の痛みを伴うことがあり関節症性乾癬と呼ばれますが、これが皮膚以外の主な症状です。非常にまれですが眼症状(ブドウ膜炎など)を伴うことがあります。

大阪大学医学部皮膚科 医師:三浦宏之

 

 

かけはし